
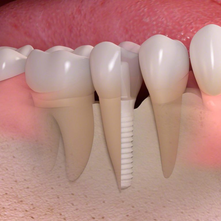
Was ist ein Implantat?
Warum wird implantiert?
Implantate werden eingebracht, um ästethisch und funktionell hochwertigen Zahnersatz zu tragen, zu halten oder zu stützen.
Das prothetische Versorgungsspektrum der modernen Zahnheilkunde wird durch die Implantologie erweitert und optimiert.
Implantate ermöglichen zum Beispiel
- beim Ersatz eines einzelnen Zahnes die Nachbarzähne ohne jeden Substanzverlust zu erhalten oder
- festsitzende Brücken mit komfortablem Sitz noch dort einzugliedern, wo sonst eine herausnehmbare Prothese eingestzt werden müßte.
Das heißt, Implanate schaffen häufig wieder die Voraussetzung für einen den physiologischen Verhältnissen angepassten Zahnersatz; während bei gleichem Restzahnbestand die Kaufunktion mit der üblichen prothetischen Versorgung nur eingeschränkt wiederhergestellt werden kann. Da sich ein fehlender Zahn schon auf die Gesamtfunktion des Kauorgans auswirken kann, ist leicht vorstellbar, welche Beeinträchtigung fehlende Zähne oder gar Zahnlosigkeit für den Organismus und das Wohlbefinden des Menschen bedeuten.
An Implantat-Werkstoffe werden besonders hohe Ansprüche gestellt. Sie müssen
- eine außerordentliche Gewebeverträglichkeit aufweisen
- absolut unbedenklich im Hinblick auf Allergien sein und
- wie ein natürlicher Zahn allen Kaubelastungen widerstehen.
Anwendungen für Zahnimplantate
- Einzelzahnersatz
- Versorgung von verkürzten Zahnreihen
- Haltverbesserung bei abnehmbaren Prothesen
- Vollständiger oder teilweiser Ersatz des Zahnbogens mit einer festsitzenden Brücke
Der Sinuslift
Die Sinusbodenelevation ist ein spezielles Verfahren zum Knochenaufbau im Oberkieferseitenzahngebiet. Es kommt zur Anwendung, wenn durch einen Knochenabbau (Atrophie) das Knochenangebot so gering ist, dass Zahnimplantate nicht stabil und in ausreichender Länge gesetzt werden können. Der Sinuslift stellt eine Operationsmethode der Kieferchirurgie dar, bei der der knöcherne Boden der Kieferhöhle (Sinusboden) verdickt wird, um Knochenvolumen zu gewinnen. Ohne das Sinuslift-Verfahren wäre ein Großteil der heutigen Implantationen im Oberkiefer nicht erfolgreich durchführbar.
Was ist der Sinusboden?
Die Kieferhöhle (sinus maxillaris) gehört zu den sogenannten Hohlorganen, die luftgefüllt und mit einer Schutzschicht, der Schleimhaut, ausgekleidet ist. Sie zählt zu der Gruppe der Nasennebenhöhlen. Im unteren Teil der Kieferhöhle befindet sich der Sinusboden, der die Zahnwurzeln der kleinen und großen Backenzähne des Oberkiefers trägt.
Der Sinusboden stellt damit also eine Trennung von Nasennebenhöhle zur Mundhöhle dar. Er ist von innen mit einer Schleimhaut (respiratorisches Epithel) versehen, der Schneider-Membran. Bei Zahnverlust oder Knochenabbau, in Folge einer schweren Parodontitis, nimmt zusätzlich zum Volumen des Kieferknochens auch die Dicke (=Atrophie) des Sinusbodens ab. Hierfür ist die fehlende Kaukraftbelastung des Knochens verantwortlich, der auf eine intakte und gesunde Zahnwurzel angewiesen ist.
Knochenaufbau mit Sinuslift – Anhebung des Sinusbodens
Wenn die Knochensubstanz nicht ausreicht, ist das Setzen eines Implantats in den meisten Fällen nicht möglich. Denn, um ein ausreichend langes Implantat zu verankern, braucht es Stabilität. Diese bietet nur ein Kieferknochen mit hinreichendem Volumen. Im Fall eines atrophierten Oberkiefers verhält es sich aber so, dass der überwiegende Teil des Implantats in der luftgefüllten Kieferhöhle zu stehen kommen würde. Die restliche Knochenschicht müsste dann den erforderlichen Halt für das gesamte Implantat aufbringen.
Da die Erfolgsaussichten hierfür sehr gering sind, wird eine Sinusbodenelevation (Sinuslift) gemacht.
Dabei wird der zu behandelnde Bereich über eine kleine Öffnung zugänglich gemacht. Durch diese Öffnung kann mit speziellen Instrumenten die Schneiderische Membran vorsichtig vom Knochen gelöst und angehoben werden. Der so entstandene Hohlraum zwischen Kieferknochen und Sinusboden wird daraufhin mit Knochenersatzmaterial aufgefüllt, an dem sich der natürliche Knochen in der folgenden Zeit anlagern kann.
Für einen Sinuslift gibt es drei unterschiedliche Verfahren. Welches im Einzelfall zur Anwendung kommt, wird von der verbleibenden Restknochensubstanz entschieden.
Externer Sinuslift
Der externe Sinuslift ist im Vergleich zum internen Sinuslift aufwendiger. Ein externer Sinuslift findet Anwendung, sobald mehrere Millimeter (mehr als 3mm) Knochenhöhe gewonnen werden müssen, um ein Implantat stabil zu verankern. Hierbei wird zunächst das Zahnfleisch geöffnet und die Kieferhöhlenwand an der Außenseite freigelegt. Dieses Knochenfenster wird mit Hilfe feiner Fräsen oder Ultraschallinstrumenten (Piezochirurgie) präpariert, bis der Kieferhöhlenboden (Sinusboden) erreicht ist. Daraufhin wird behutsam und vorsichtig der Sinusboden mit stumpfen Instrumenten nach oben gedrängt, um die feine Membran nicht zu verletzen.
Wie auch beim internen Sinuslift, wird der künstlich geschaffene Hohlraum zwischen Sinusboden und Knochen mit Knochenersatzmaterial ausgefüllt. Sofern anschließend eine Knochenhöhe von mindestens 3-5mm gewonnen werden konnte, kann das Implantat zeitgleich zum Knochenabbau verankert werden. Falls der Kieferknochen bereits stärker geschädigt war, wird das Implantat frühestens nach 3 Monate, mitunter auch erst ca. 8 Monate nach der Sinusbodenelevation eingesetzt werden können.
Einzeitiger und zweizeitiger Sinuslift
Wenn genügend Restknochenhöhe vorhanden ist, kann ein Implantat gleichzeitig mit dem Knochenaufbau gesetzt werden. In solch einem Fall spricht man von einem einzeitigen Sinuslift. Bei einer Knochendicke von weniger als 1 – 2 mm muss ein zweizeitiger Sinuslift erfolgen, da aufgrund der geringen Knochenschicht keine stabile Verankerung möglich ist. Nach einer Einheilzeit von etwa 6 – 12 Monaten, kann dann erst in einem zweiten Eingriff (4-8 Monate später) das Implantat in den neugebildeten Knochen verankert werden.
Risiken und Komplikationen von Sinuslift
Trotz aller Fortschritte der Zahnmedizin ist ein Knochenaufbau im Oberkiefer immer mit gewissen Risiken verbunden. Sowohl ein externer als auch interner Sinuslift sind nicht gänzlich risikofrei. Durch die Möglichkeit einer Perforation der Schneiderischen Membran besteht immer das Risiko einer Kieferhöhlenöffnung mit anschließender Materialabwanderungen. Dabei kann das Knochenaufbau-Material in die Kieferhöhle abwandern und, sofern es nicht bemerkt wurde, dort chronische Entzündungen oder Infektionen hervorrufen. Auch das Einbluten in die Kieferhöhle ist ein mögliches Risiko.
Wird eine Kieferhöhlenöffnung bereits während eines Eingriffs entdeckt, kann die Membran im besten Fall durch eine Naht befestigt und gesichert werden. Oftmals kommt es allerdings vor, dass der Sinuslift in solch einem Fall erfolglos abgebrochen werden muss. Nach Abwarten von ca 3 Monaten ist aber ein erneuter Eingriff möglich!
Durch Einsatz neuer Verfahren wie beispielsweise der digitalen Volumentomographie (3D-Röntgen) und computergestützten Implantationsplanung können bekannte Risiken genau untersucht und abgewogen und damit die Behandlungsplanung exakt auf Ihre individuellen Bedürfnisse abgestimmt werden.


